Acasa » Alte Sporturi » Canotaj » Cursă pentru viață! Fostul canotor Iosub Amos Nicolae suferă de cancer la creier și doar un vaccin ce costă 80.000 de euro îi poate prelungi viața. Ultramaratonistul ieșean Alin Vorniceanu va alerga de la Constanța la București, pentru a-și ajuta colegul

Cursă pentru viață! Fostul canotor Iosub Amos Nicolae suferă de cancer la creier și doar un vaccin ce costă 80.000 de euro îi poate prelungi viața. Ultramaratonistul ieșean Alin Vorniceanu va alerga de la Constanța la București, pentru a-și ajuta colegul

02 sept. 2025, 12:37, Canotaj
Cursă pentru viață! Fostul canotor Iosub Amos Nicolae suferă de cancer la creier și doar un vaccin ce costă 80.000 de euro îi poate prelungi viața. Ultramaratonistul ieșean Alin Vorniceanu va alerga de la Constanța la București, pentru a-și ajuta colegul
Foto: Alin Vorniceanu

La doar 41 de ani, un fost campion la canotaj suferă de o boală cumplită și are nevoie de ajutorul nostru.

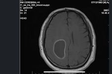
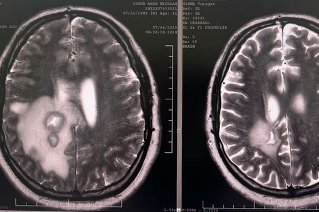
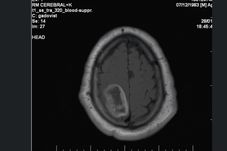
Iosub Amos Nicolae, canotor de performanță între anii 1998 și 2007 la clubul Steaua București, în prezent ofițer în cadrul Ministerului Apărării Naționale și tată a doi copii, în vârstă de 9 și 14 ani, a fost diagnosticat la începutul acestui an cu o formă galopantă de cancer la creier.

Vaccinul care îi poate prelungi viața lui Iosub Amos Nicolae costă 80.000 de euro

În luna ianuarie, medicii l-au diagnosticat pe Iosub Amos Nicolae cu glioblastom cerebral și de atunci fostul sportiv a trecut deja prin trei intervenții chirurgicale pe creier.

După ultima operație, specialiștii din București au transmis familiei că doar un vaccin ce poate fi produs în Germania îi poate prelungi viața lui Amos Nicolae. Iar medicamentul ce poate fi fabricat la o clinică specializată de cercetare costă 80.000 de euro.

Ieșeanul Alin Vorniceanu va alerga de la Constanța la București pentru a-l ajuta pe Iosub Amos Nicolae

În încercarea de a sensibiliza cât mai mulți semeni să-l ajute pe Amos Nicolae, ultramaratonistul ieșean Alin Vorniceanu, și el cadrul militar, a decis să alerge distanța de 230 de kilometri, de la Constanța la București, pentru a fi alături de colegul său.

Vorniceanu va lua startul mai întâi la cursa caritabilă Autism 24 de ore de la Mamaia, pe 13 și 14 septembrie, după care va pleca în alergare spre București. În total, Alin Vorniceanu va alerga aproximativ 430 de kilometri, adică distanța de la Iași la București.

”Iosub Amos Nicolae este colegul meu, prietenul meu, tată a doi copii și are nevoie de ajutorul nostru. Doar împreună îl putem ajuta. Are doar 41 de ani, un om în floarea vârstei. Doar un vaccin produs în Germania îi poate prelungi șederea alături de familie, alături de noi, iar acel vaccin costă 80.000 de euro. Fără acel vaccin, medicii i-au mai dat 151 de zile. Pentru a fi alături de el, am decis să alerg de la Constanța la București, 230 de kilometri, iar însumat cu cei 180 de kilometri pe care vreau să-i parcurg la cursa Autism 24 de ore de la Mamaia, să ajung la aproape 410-420 de kilometri, adică distanța de la Iași la București. Împreună îl putem ajuta pe Nicolae. Voi pleca spre București, de la Constanța, imediat după ce voi încheia cursa pentru Autism, la care particip an de an cu echipa Spartanii Angelo. Nu vreau să iau nicio pauză între curse, pentru că nu avem timp, Amos Nicolae are nevoie de ajutor cât mai rapid. Orice sumă, cât de mică, îl poate salva”, a declarat Alin Vorniceanu pentru ProSport.

Cei care vor să-l ajute pe Iosub Amos Nicolae o pot face donând sume de bani în contul în LEI:

RO57 RZBR 0000 0100 2241 7864

Titular: AMOS IOSUB